Ga naar de inhoud
Home
Even voorstellen
Producten
Cad/Cam
Kleur bepalen
Contact
Main Menu
Adhesieve bruggen
Bruggen
Cad/Cam
Contact
Even voorstellen
Facings
Home
Implantaat gedragen kronen/bruggen
Inlays/onlays
Kleur bepalen
Kronen
Producten
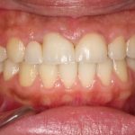
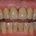
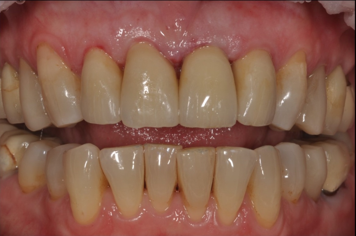
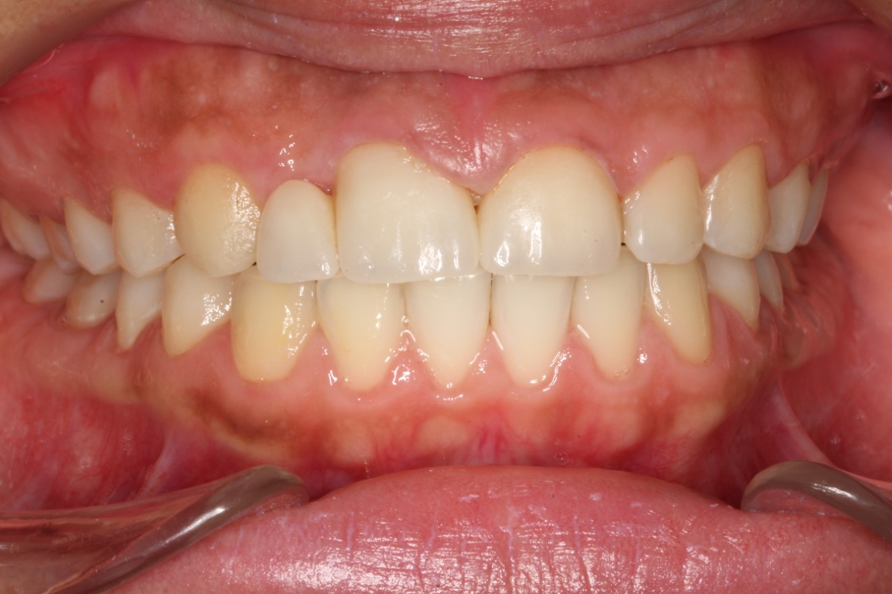
Bruggen
Scroll naar boven